

In Österreich ist das Lungenkarzinom die zweithäufigste Krebserkrankung bei Männern und Frauen.
2019 entfielen 11% der Krebserkrankungen bei Frauen und 12% bei Männern auf Lungenkrebs. Bei Männern nahm er mit 21% den ersten Rang unter den krebsbedingten Todesursachen ein, bei Frauen stand er mit 17% nach Brustkrebs an zweiter Stelle.
Sowohl das Erkrankungs- als auch das Sterberisiko an Lungenkrebs nahmen in den vergangenen Jahren bei Frauen stark zu.1 Trotz großer Fortschritte in der Therapie des Lungenkarzinoms liegt die mediane 5-Jahres-Überlebensrate auch heute noch unter 20%.2
Beim Lungenkarzinom wird zwischen dem kleinzelligen (engl. small cell lung cancer, kurz: SCLC) und dem nicht-kleinzelligen Lungenkarzinom (engl. non-small cell lung cancer, kurz: NSCLC) unterschieden.3
Das SCLC macht etwa 15% der Lungenkarzinome aus und stellt eine besonders schnell wachsende und sich ausbreitende Form dar. 4,5
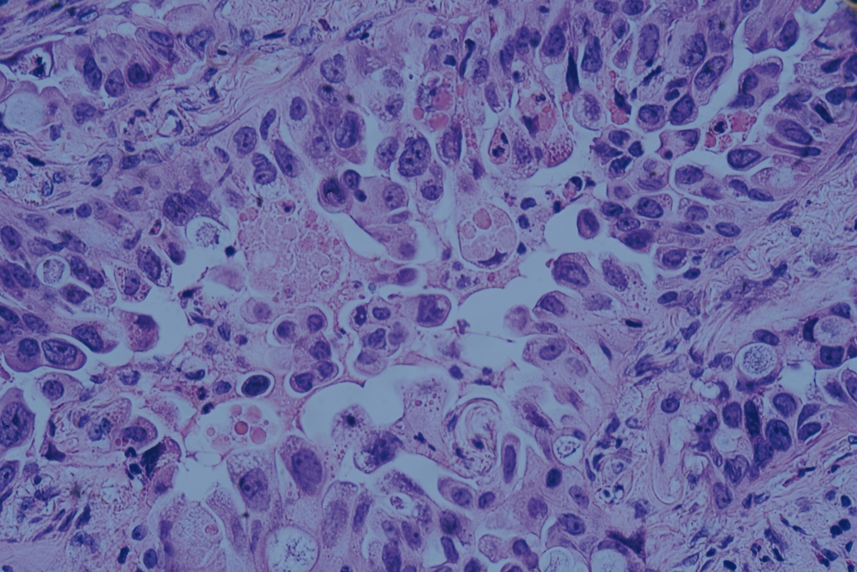
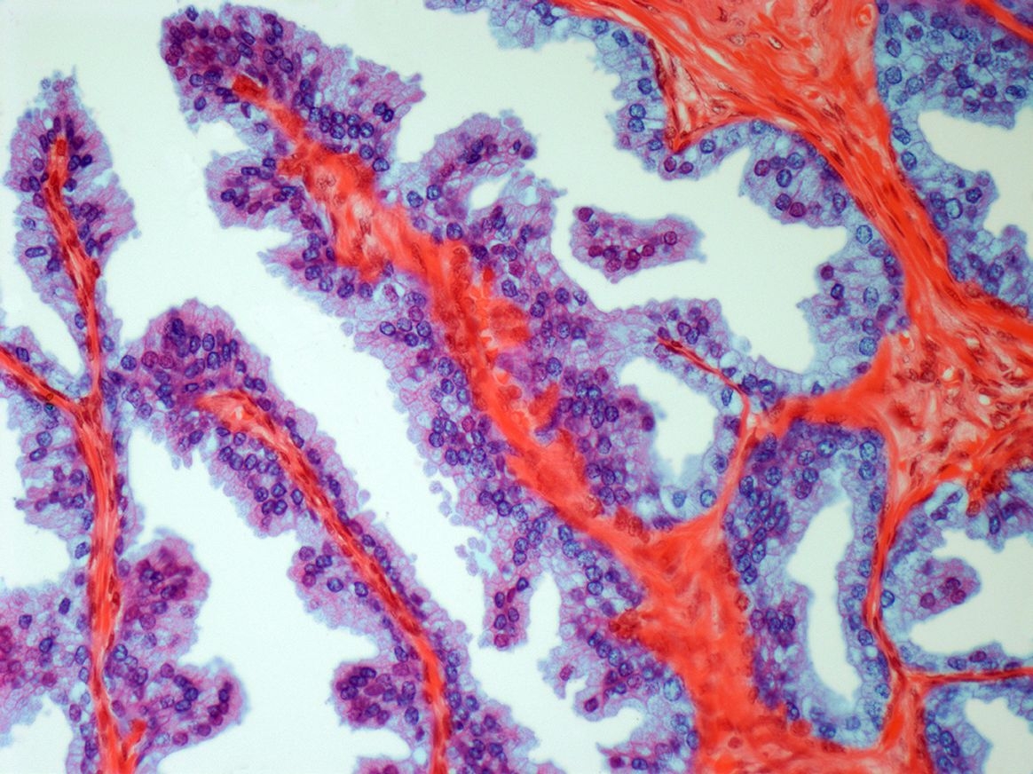
Im Gegensatz dazu macht das NSCLC ca. 85% aller Lungenkarzinome aus.4,5 Zu diesen gehören vor allem das Plattenepithelkarzinom und das Adenokarzinom.6 Plattenepithelkarzinome treten in soliden Verbänden zentral in der Lunge und verstärkt bei Männern auf.3,7 Adenokarzinome hingegen wachsen eher am Lungenrand (peripher) und entstehen aus Drüsenzellen der Lunge.3 Sie werden etwas häufiger bei Frauen diagnostiziert.5
Rauchen ist nach wie vor der bedeutendste Risikofaktor - doch auch Menschen, die nie geraucht haben, können an Lungenkrebs erkranken. Insbesondere Patient:innen mit Adenokarzinom, einem nicht-kleinzelligen Lungenkarzinom, sind oftmals Nichtraucher:innen. Die genaue Ursache lässt sich in solchen Fällen nur schwer feststellen.9,10
Personen mit einer positiven Lungenkarzinom-Anamnese bei einem oder mehreren Verwandten ersten Grades haben ein erhöhtes Erkrankungsrisiko.
In frühen Stadien verläuft die Erkrankung meist asymptomatisch, also ohne erkennbaren Krankheitszeichen. Es gibt keine typische Frühsymptome, die bei allen Patient:innen auftreten und eindeutig auf Lungenkrebs hinweisen. Beispielsweise können Bronchitis oder eine Lungenentzündung ähnliche Beschwerden verursachen, die bei einem Lungenkarzinom auftreten.
Viele Patient:innen zeigen u.a. unspezifische bzw. allgemeine Symptome. Nicht zuletzt deshalb wird ein Lungenkarzinom bei mehr als drei Viertel der Patient:innen in einem späten, nicht mehr kurablen Stadium diagnostiziert.2 Denn, wenn das Lungenkarzinom symptomatisch wird, handelt es sich meist um ein fortgeschrittenes Stadium der Erkrankung.
Darüber hinaus können Gewichtsverlust, Schwäche, Fieber und Nachtschweiß mit der Erkrankung einhergehen.
Je früher das Lungenkarzinom entdeckt wird, desto größer sind die Heilungschancen. Da das Lungenkarzinom jedoch erst im fortgeschrittenen Stadium Symptome verursacht, wird es im Anfangsstadium in der Regel nur durch einen zufälligen Befund entdeckt. In Österreich existieren bisher keine regulären Vorsorgeuntersuchungen für die Gesamtbevölkerung.2
Am Anfang der Diagnose steht das ausführliche Anamnese-Gespräch mit dem Arzt/der Ärztin. Dabei werden aktuelle Beschwerden, Lebensgewohnheiten, frühere Erkrankungen und Erkrankungen in der Familie besprochen. Darauf folgt eine körperliche Untersuchung. Ergibt sich ein Verdacht auf ein Lungenkarzinom, werden unter anderem folgende Verfahren angewandt:11
Zur Behandlung eines nicht-kleinzelligen Lungenkarzinoms stehen zahlreiche verschiedene Optionen zur Verfügung. Welche Behandlung für die jeweiligen Patient:innen am geeignetsten ist, hängt von unterschiedlichen Faktoren ab.
Hierzu gehören unter anderem:
Beim nicht-kleinzelligen Lungenkarzinom im frühen Stadium wird in der Regel mit dem Ziel operiert, den Tumor vollständig zu entfernen und eine Heilung herbeizuführen.12 Vorrausetzung ist, dass benachbarte Lymphknoten nicht befallen sind. In bestimmten Fällen kann außerdem eine Chemo- oder Strahlentherapie im Anschluss an die Operation erwogen werden. Können Patient:innen aufgrund von Vorerkrankungen nicht operiert werden, wird eine punktgenaue Bestrahlung des Tumors vorgenommen.13
In weiter fortgeschrittenen Krankheitsstadien wird oftmals die Kombination aus Chemo- und Strahlentherapie angewendet12, in bestimmten Fällen kann auf eine definitive Radiochemotherapie eine Immuntherapie folgen. Sie hat das Ziel, Tumore mithilfe des eigenen Immunsystems zu bekämpfen. Diese Medikamente sollen bewirken, dass die Immunzellen die Krebszellen erkennen, angreifen und zerstören. Idealerweise werden dabei gesunde Körperzellen nicht geschädigt.
Beim kleinzelligen Lungenkarzinom kommt eine Operation selten in Frage, da sich dieser Karzinom-Typ sehr schnell ausbreitet und früh Metastasen (Tumorzell-Satelliten) bildet.12
Ist das nicht-kleinzellige Lungenkarzinom so weit fortgeschritten, dass sich Metastasen in anderen Organen gebildet haben, ist die Erkrankung in der Regel nicht mehr heilbar. Jedoch gibt es unter bestimmten Voraussetzungen die Möglichkeit, zielgerichtet wirkende Arzneimittel wie zum Beispiel Tyrosinkinase- oder Angiogenese-Hemmer einzusetzen. Dazu werden Tumorzellen auf spezifische genetische Veränderungen, sogenannte Treibermutationen, hin untersucht. Für das nicht-kleinzellige Lungenkarzinom sind mittlerweile Dutzende solcher Gene identifiziert.14
Treibermutationen im EGFR-Gen kommen bei ca. 10 bis 15% der Patient:innen mit nicht-kleinzelligem Lungenkarzinom vor.15 Veränderungen in den Genen des epidermalen Wachstumsfaktor-Rezeptors (EGFR), KRAS (Kirsten-Ratten-Sarkom-Virus) und anaplastischen Lymphomkinase (ALK) kommen fast ausschließlich beim Adenokarzinom vor, während Veränderungen in den Genen PIK3CA und FGFR1 vor allem beim Plattenepithelkarzinom vorliegen.14 Diese spezifischen Genveränderungen bieten eine Chance, zielgerichtete Medikamente gegen das Tumorwachstum zu entwickeln.
Wenn beispielsweise Veränderungen in den Genen EGFR oder der ALK festgestellt werden, können zielgerichtete Arzneimittel wie EGFR-Tyrosinkinase-Inhibitoren (TKI) oder ALK-TKI zum Einsatz kommen. Diese zielgerichteten Arzneimittel blockieren in den Tumorzellen pathophysiologische relevante Signalpfade der Zellteilung und damit das Tumorwachstum.8,13
Die Prognose und die Lebensqualität von Patient:innen mit nicht-kleinzelligem Lungenkarzinom können durch zielgerichtete Therapien im Vergleich zu chemotherapeutischen Ansätzen häufig verbessert werden.13
Doch trotz zahlreicher moderner Therapieansätze bleibt die Prognose beim nicht-kleinzelligen Lungenkarzinom in vielen Fällen weiterhin ungünstig. Weniger als die Hälfte der diagnostizierten Patient:innen überlebt das erste Jahr nach Diagnosestellung, die mediane 5-Jahres-Überlebensrate liegt unter 20%.2
[1]: https://www.statistik.gv.at/fileadmin/announcement/2022/05/20220127Krebserkrankungen2019.pdf, letzter Zugriff 12/2022.
[2]: Österreichischer Krebsreport 2021.
[3]: https://www.netdoktor.de/krankheiten/lungenkrebs/nsclc-nicht-kleinzelliges-bronchialkarzinom/, letzter Zugriff 12/2022.
[4]: Molina JR et al. Mayo Clin Proc 2008; 83:584–594.
[5]: https://www.amboss.com/de/wissen/Lungenkarzinom, letzter Zugriff 12/2022.
[6]: https://flexikon.doccheck.com/de/Nicht-kleinzelliges_Bronchialkarzinom, letzter Zugriff 12/2022.
[7]: Kraywinkel K and Schönfeld I. Der Onkologe 2018; 24:946–951.
[8]: https://www.onkopedia.com/de/onkopedia/guidelines/lungenkarzinom-nicht-kleinzellig-nsclc/@@guideline/html/index.html, letzter Zugriff 12/2022.
[9]: Siegel, D. A. et al.: Proportion of Never Smokers Among Men and Women With Lung Cancer in 7 US States. In: JAMA Oncol. Online publiziert am 3. Dezember 2020. doi:10.1001/jamaoncol.2020.6362.
[10]: https://www.krebsinformationsdienst.de/tumorarten/lungenkrebs/faq.php, letzter Zugriff 03/2022.
[11]: https://www.krebsgesellschaft.de/onko-internetportal/basis-informationen-krebs/krebsarten/definition/diagnose.html, letzter Zugriff 12/2022.
[12]: https://www.krebsinformationsdienst.de/tumorarten/lungenkrebs/behandlung-uebersicht.php, letzter Zugriff 12/2022.
[13]: https://www.krebsgesellschaft.de/onko-internetportal/basis-informationen-krebs/krebsarten/lungenkrebs/therapie/therapioe-nichtkleinzelliger-lungenkarzinome-nsclc.html, letzter Zugriff 12/2022.
[14]: Chan BA and Hughes BGM. Transl Lung Cancer Res 2015; 4:36–54.
[15]: https://lungcancergroup.de/molekularpathologie/treibermutationen/, letzter Zugriff 03/2022.








